Cabinet du Dr Diana Bento
Chirurgien-dentiste - orthodontie exclusive
Cabinet du Dr Diana Bento

185 B RUE DE PARIS
95150 Taverny

Chirurgien-dentiste - orthodontie exclusive

+33 1 39 60 70 70

La réussite d'un traitement

L'hygiène en orthodontie

L'hygiène en orthodontie

Traitement orthodontique : les règles du succès

Traitement orthodontique : les règles du succès

Nettoyage des brackets avec brossette interdentaire

Nettoyage des brackets avec brossette interdentaire

Contention de Hawley

Contention de Hawley

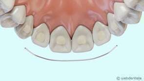
Fil de contention

Fil de contention

Conditions de réussite d'un traitement orthodontique

Conditions de réussite d'un traitement orthodontique

Le succès d’un traitement d’orthodontie dépend du diagnostic et des soins prodigués, mais également de votre coopération.

Affichage des articles 1-6 sur 10

Création par Webdentiste

Connexion